インプラントとは?
歯科インプラントの可能性
インプラントを受けるときの心の準備
OMS口腔医科学会インプラント報告
インプラント治療の流れOpenクリニック
インプラントの限界リスクと歯周病
インプラントとコンプライアンス
インプラント症例ギャラリー
インプラントの予後Q&A 費用と治療費控除
インプラントを志す若き歯科大生へ
インプラント美口攻略法講座相談ドクター
HOME
 
Yahoo!カテゴリ
トップ>健康と医学>歯科学
インプラント
インプラント美口攻略法講座
歯科インプラントに関する基礎知識。治療の流れ、症例、Q&A、メール相談等。
 
青森県あしだ歯科医院
新宿水口インプラントセンター
インプラント専門医・フローラルインプラントセンター
インプラント相談

インプラントの限界

インプラント/歯科インプラント美口攻略法講座
インプラントのリスクと限界
女性とタバコ喫煙・インプラントのリスク(1)
女性と歯周病・インプラントのリスク(2)
インプラントと交合・症例写真コメント
3,
インプラント治療を困難にさせる物、それは咬合(上下の噛み合わせ)の変化にあります。

人の歯の噛み合せは前歯の噛み合せと奥歯の噛み合せとから成立っています。
前歯の噛み合せは奥歯の噛み合せを助け、奥歯の噛み合せは、前歯を保護するようなしくみで噛み合っています。

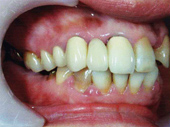
40歳代前半の女性の患者さんの場合下顎の左右の奥歯がありません。
虫歯で大臼歯を失ってから約5年間、そのままの状態(奥歯を抜いたままの状態)を放置してきてしまいました。
理由は、歯医者さんが苦手だったそうです。
何でも相談できる、かかりつけの歯医者さんをもつ事がいかに重要であるかおわかりになりましたでしょうか。

インプラントのリスク
インプラントのリスク
インプラントのリスク
インプラントのリスク
 
インプラントのリスク
 

左右の下に大臼歯と呼ばれる奥歯が4本有りません。長期間歯の無いまま放置してきてしまったので左右の上の奥歯が下方に挺出(歯牙が合対する無くなってしまった歯の方へのびてくる現象)。
このままの状態ではインプラントが入れられません。
正面から見ると、上の奥歯が下にのびているのがわかります。
このままさらに放置しておくと、そのゆがみは前歯へと及び、さらに広範囲な全顎的な歯科治療を行わなくてはなりません。

インプラントのリスク
インプラントのリスク
インプラントのリスク
インプラントのリスク
 
インプラントのリスク
 
インプラントのリスク
インプラント治療シミュレーション
インプラント治療シミュレーション
インプラント治療シミュレーション
インプラント治療シミュレーション
 
 
インプラント治療シミュレーション
 
インプラント治療シミュレーション

この様に挺出(上の奥歯が下方にのびる現象)してしまった上の奥歯は新たに削って被せ物クラウンにするか、矯正歯科治療を全顎的に行い、上下歯の咬合、噛み合せの状態を修正しなくてはなりません。

▲ページのトップへ
 
<<前ページへ  次ページへ>>
 若返り歯科/アンチエイジングインプラントの世界
 東京 東京都 新宿水口インプラントセンター/青森 青森県 南津軽郡
インプラント美口攻略法講座/インプラント相談ドクター
口元のビューティーアドバイザーオーラルケアリスト hisamin(運営)

2006 Copyright(c)